T
The Daily Insight

What is proper blast cell

Author

Victoria Simmons

Published Feb 18, 2026

In the myeloid cell line, the term “blast cell” refers to myeloblasts or myeloid blasts. These are the very earliest and most immature cells of the myeloid cell line. Myeloblasts give rise to white blood cells. This family of white blood cells includes: Neutrophils.

What does blast mean on CBC?

A CBC test can find leukemic blood cells, which are called blasts. It can also detect changes in the amount of any type of blood cell. Finding any one of these changes in the blood can suggest the presence of leukemia.

Why are blast cells Bad?

When people have AML, blasts make copies of themselves quickly. This slows the production of red blood cells and platelets, causing tiredness from anemia and a risk of bleeding from a low platelet count.

What lab values indicate leukemia?

How Is Leukemia Treated? Your doctor will conduct a complete blood count (CBC) to determine if you have leukemia. This test may reveal if you have leukemic cells. Abnormal levels of white blood cells and abnormally low red blood cell or platelet counts can also indicate leukemia.

Which type of leukemia is most fatal?

Patients with the most lethal form of acute myeloid leukemia (AML) – based on genetic profiles of their cancers – typically survive for only four to six months after diagnosis, even with aggressive chemotherapy.

Are blasts in blood normal?

The number of immature cells (blasts) in the bone marrow is usually normal (less than 5%). A small percentage of the red blood cells in the bone marrow (less than 15%) may contain sideroblasts (iron granules that form a ring).

What is blast percentage?

The percentage of blasts in the bone marrow or blood is particularly important. Having at least 20% blasts in the marrow or blood is generally required for a diagnosis of AML. (In normal bone marrow, the blast count is 5% or less, while the blood usually doesn’t contain any blasts.)

Are WBC high or low in leukemia?

If you have leukemia you will have lower than normal counts of red blood cells and platelets, and higher than normal counts of white blood cells.

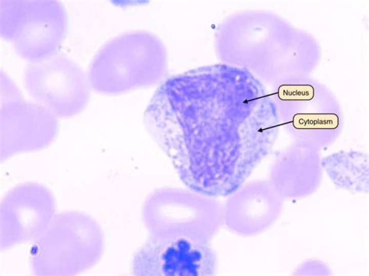
How do you identify blast cells?

No single characteristic identifies a blast. In general, blasts are cells that have a large nucleus, immature chromatin, a prominent nucleolus, scant cytoplasm and few or no cytoplasmic granules. Blasts may not have all of these features.

What were your first signs of leukemia?
  • Fever or chills.
  • Persistent fatigue, weakness.
  • Frequent or severe infections.
  • Losing weight without trying.
  • Swollen lymph nodes, enlarged liver or spleen.
  • Easy bleeding or bruising.
  • Recurrent nosebleeds.
  • Tiny red spots in your skin (petechiae)
Article first time published on

What are the 5 stages of leukemia?

  • Stage 0. The blood has too many white blood cells called lymphocytes. This is called lymphocytosis. …
  • Stage I. The blood has too many lymphocytes. …
  • Stage II. The blood has too many lymphocytes. …
  • Stage III. The blood has too many lymphocytes. …
  • Stage IV. The blood has too many lymphocytes.

What is the blast phase in leukemia?

Blast phase (also called acute phase or blast crisis) Large clusters of blasts are seen in the bone marrow. The blast cells have spread to tissues and organs beyond the bone marrow. These patients often have fever, poor appetite, and weight loss. In this phase, the CML acts a lot like an acute leukemia.

How do you reduce blast cells?

  1. chemotherapy.
  2. targeted therapy.
  3. radiation therapy.
  4. stem cell therapy, also known as bone marrow transplantation.

How long do CML patients live?

Generally for CML more than 70 out of 100 men (more than 70%) and almost 75 out of 100 women (almost 75%) will survive their leukaemia for 5 years or more after they are diagnosed. This is for all ages. Younger people tend to have a better outlook than older people.

What is the lifespan of someone with leukemia?

Today, the average five-year survival rate for all types of leukemia is 65.8%. That means about 69 of every 100 people with leukemia are likely to live at least five years after diagnosis. Many people will live much longer than five years.

How many rounds of chemo is needed for leukemia?

Most people have 2 rounds of induction chemotherapy. The treatment will be carried out in hospital or in a specialist centre, as you’ll need very close medical and nursing supervision. You may be able to go home between treatment rounds.

What is an aggressive form of leukemia?

ALL (also called acute lymphocytic leukemia) is an aggressive type of leukemia characterized by the presence of too many lymphoblasts or lymphocytes in the bone marrow and peripheral blood.

What is a blast crisis in AML?

Listen to pronunciation. (blast KRY-sis) A phase of chronic myelogenous leukemia in which tiredness, fever, and an enlarged spleen occur during the blastic phase, when more than 30% of the cells in the blood or bone marrow are blast cells (immature blood cells).

What is the cure rate for AML?

According to the American Cancer Society (ACS), around 90 percent of people with an AML type known as acute promyelocytic leukemia (APL) will go into remission after “induction” (first round) of chemo. For most other types of AML, the remission rate is around 67 percent.

What causes blast cells in blood?

Myelodysplastic syndromes occur when defective, immature blood-forming cells called stem cells do not mature into one or more types of healthy blood cells. Myeloblasts, also called blast cells, may also develop. These are young blood cells produced by stem cells.

Where are blast cells formed?

In healthy people, stem cells and blast cells are found only in the bone marrow.

What causes APL leukemia?

APL is caused by a chromosomal translocation (rearrangement of material) that occurs in some of the body’s cells during a person’s lifetime (a somatic mutation ). The translocation involves the fusion of two genes : the PML gene on chromosome 15 and the RARA gene on chromosome 17.

Would a normal blood test show leukemia?

Because chronic leukemia is very slow-growing and may not cause symptoms, it’s common for the disease to first be detected in normal blood work when a patient goes to the doctor for a regular checkup.

What is an alarming WBC count?

In general, for adults a count of more than 11,000 white blood cells (leukocytes) in a microliter of blood is considered a high white blood cell count.

What cancers cause low WBC?

Low white blood cell count. Cancers that affect the blood and bone marrow can also lower the count. These types of cancers include leukemia, lymphoma, and multiple myeloma.

What is the white blood cell count for lymphoma?

Having a high white blood cell count (15,000 or higher). Having a low lymphocyte count (below 600 or less than 8% of the white blood cell count).

What is the first stage of leukemia?

Stages of Chronic Leukemia Stage 1 – A patient has high levels of white blood cells and enlarged lymph nodes. Stage 2 – A patient has high levels of white blood cells and is anemic. He or she may also have enlarged lymph nodes. Stage 3 – A patient has high levels of white blood cells and is anemic.

What can leukemia be mistaken for?

  • Influenza.
  • Fever.
  • Pathological fracture.
  • Bleeding disorders.
  • Immune thrombocytopenic purpura.
  • Trypanosomiasis.
  • Autoimmune lymphoproliferative syndrome.

What do leukemia spots look like?

Tiny red spots called petechiae One symptom that people with leukemia might notice is tiny red spots on their skin. These pinpoints of blood are called petechiae. On light skin, these may appear as red dots. On darker skin they may be darker than the surrounding skin and less noticeable.

Is leukemia a death sentence?

Today, however, thanks to many advances in treatment and drug therapy, people with leukemia- and especially children- have a better chance of recovery. “Leukemia isn’t an automatic death sentence,” said Dr. George Selby, assistant professor of medicine at the University of Oklahoma Health Sciences Center.

What are the six signs of leukemia?

  • Swollen lymph nodes.
  • Stomach discomfort.
  • Nausea or vomiting.
  • Numbness in hands or feet.
  • Heart palpitations.
  • Loss of concentration.
  • Sleeping problems.
  • Headaches.