T
The Daily Insight

What is atypical leiomyoma

Author

Christopher Lucas

Published Mar 18, 2026

Atypical leiomyoma is a well-described smooth muscle neoplasm of the uterus. Only 1 study has addressed long-term clinical follow-up in a large series, and little is known about the adequacy of treatment by myomectomy.

Is atypical leiomyoma cancerous?

According to the study by Bell et al, a small proportion of atypical leiomyoma had a low risk of malignant transformation and thus they classified it as an intermediate grade uterine smooth muscle tumor (1).

How are Leiomyomas treated?

Surgery has traditionally been the gold standard for the treatment of uterine leiomyomas and has typically consisted of either hysterectomy or myomectomy. In recent years, a few clinical trials have evaluated the efficacy of orally administered medications for the management of leiomyoma-related symptoms.

What is the meaning of leiomyoma?

A benign smooth muscle tumor, usually in the uterus or gastrointestinal tract. Also called fibroid.

Can leiomyoma turn malignant?

In conclusion malignant transformation of benign leiomyoma to leiomyosarcoma, although a rare occurance but can happen in certain patients with large myomas, post menopausal women, rapid growing myomas and in certain subset of leiomyoma.

What is a Symplastic leiomyoma?

symplastic leiomyoma, are rare smooth muscle tumors. that contain cells with moderate to severe cytological. atypia but cell necrosis is absent and mitotic index is. fewer than 10 mf/10 hpf.1 These are benign lesions even. if there is high cellularity, numerous widely distributed.

How can you tell the difference between leiomyosarcoma and leiomyoma?

Leiomyosarcoma is not the same as leiomyoma. Leiomyoma also starts in smooth muscles, but it isn’t cancer and it doesn’t spread. SOURCES: Dana-Farber Cancer Institute: “Leiomyosarcoma.”

Is leiomyoma a benign tumor?

Leiomyomas are benign tumors arising from smooth muscle, most commonly seen in uterine myometrium, gastrointestinal tract, skin and lower extremities of middle-aged women.

Can leiomyoma be cured?

You can’t cure fibroids on your own. But you can do things that help you feel better. When fibroids grow on the outside of the uterus, you may become aware of a mass on your abdomen. You can lie down and put a hot pack or hot water bottle on your lower belly to ease the pain.

What is the cause of leiomyoma?

Hormones. Estrogen and progesterone, two hormones that stimulate development of the uterine lining during each menstrual cycle in preparation for pregnancy, appear to promote the growth of fibroids. Fibroids contain more estrogen and progesterone receptors than typical uterine muscle cells do.

Article first time published on

How is leiomyoma diagnosed?

Diagnosis of uterine leiomyomas is generally made by comprehensive physical examination and clinical history. On physical exam, the most common finding is an enlarged uterus that is often irregular in shape. Confirmation of clinical diagnosis is most easily accomplished with ultrasonography.

How do you prevent leiomyoma?

  1. Avoid added salt. …
  2. Limit high-sodium processed and packaged foods.
  3. Check your blood pressure daily with a home monitor.
  4. Exercise regularly.
  5. Lose weight, especially around the waist.
  6. Avoid or limit alcohol.
  7. Increase potassium by eating a majority of plants at each meal.

Are Leiomyomas painful?

Pilar leiomyomas are the most common of the cutaneous types and the lesions are often multiple and painful. A burning or sharp, stabbing pain may occur spontaneously or can be provoked by touch/pressure and cold temperature.

What is the malignant counterpart of leiomyoma?

Vascular leiomyosarcoma: the malignant counterpart of vascular leiomyoma. Cancer.

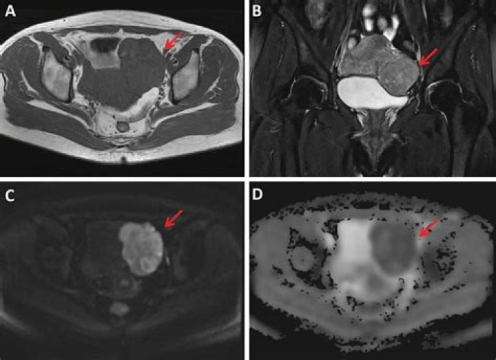
Can MRI tell if fibroid is cancerous?

Magnetic resonance imaging MRI scans can help tell if a uterine tumor looks like cancer, but a biopsy is still needed to tell for sure.

How long does a person live with uterine sarcoma?

SEER Stage5-Year Relative Survival RateLocalized66%Regional39%Distant21%All SEER stages combined43%

How fast do Leiomyomas grow?

Leiomyosarcoma is a rare but aggressive type of cancer. It can grow fast and may even double in size in as little as four weeks.

What is the difference between myoma and leiomyoma?

A myoma, commonly known as a fibroid, is a benign (noncancerous) tumor that develops in or around the uterus. Fibroids are medically known as leiomyomas and are tumors of the smooth muscle, the tissue that normally makes up that wall of the uterus.

Is uterine leiomyoma benign or malignant?

Uterine fibroids, also known as leiomyomas, are benign smooth muscle tumors of the uterus. These common tumors affect approximately 20 percent of women by the age of 40.

What is Symplastic transport?

The symplastic pathway: It provides the movement of water from one cell to another cell by plasmodesmata. Symplast, is an inner side of the plasma membrane.

When should fibroids be removed?

Because they’re typically not cancerous, you can decide whether or not you want to have them removed. You may not need surgery if your fibroids don’t bother you. However, you might consider surgery if your fibroids cause: heavy menstrual bleeding.

What vitamins are good for fibroids?

  • vitamin B-1.
  • vitamin B-6.
  • vitamin E.
  • magnesium.
  • omega-3 fatty acids.

Is banana good for fibroid?

Foods to eat if you’ve been diagnosed with fibroids include: Fiber-rich foods such as fruits, vegetables, oats and barley. Potassium-rich foods such as avocado, tomatoes and bananas.

How common are leiomyomas?

Esophageal leiomyomas are the most common benign tumors of the esophagus. They are rare lesions that constitute less than 1% of esophageal neoplasms. Approximately two-thirds of benign esophageal tumors are leiomyomas; the others are usually cysts and polyps and cysts.

What is the meaning of uterine leiomyoma?

Uterine fibroids (also called leiomyomas) are growths made up of the muscle and connective tissue from the wall of the uterus. These growths are usually not cancerous (benign). Your uterus is an upside down pear-shaped organ in your pelvis. The normal size of your uterus is similar to a lemon.

Is leiomyoma a genetic disorder?

Hereditary leiomyomatosis and renal cell carcinoma, also known as HLRCC, is a rare genetic disorder characterized by smooth muscle growths (leiomyomas) on the skin and uterus and an increased risk of developing kidney (renal) cancer.

What is another name for leiomyoma?

Uterine lipoleiomyoma, a type of leiomyoma. H&E stain. A leiomyoma, also known as a fibroid, is a benign smooth muscle tumor that very rarely becomes cancer (0.1%). They can occur in any organ, but the most common forms occur in the uterus, small bowel, and the esophagus.

Can fibroids be caused by stress?

Experiencing Major Life Stresses Stressful major life events, such as the loss of a child or spouse, divorce, or the birth of a first child, are associated with fibroids. The stress is thought to lead to changes in hormone levels that encourage the development of fibroids.

Do fibroids make you gain weight?

Common Symptoms of Uterine Fibroids Fibroids cause weight gain and bloating due to a hormonal imbalance or the size of the fibroid. Larger fibroids may cause a woman to gain weight in the abdomen, giving the appearance of normal belly fat. Simply put, the more a fibroid grows, the heavier it will become.

What are Leiomyomas composed of?

Leiomyomas are benign tumors composed of smooth muscle cells and varying amounts of fibrous connective tissue commonly encountered in women of reproductive age group.

What happens if fibroids go untreated?

Important facts about fibroids *Fibroids get worse with time. If left untreated, fibroids can continue to grow in the uterus, both in size and number. *Bleeding will become heavier, and it may be accompanied by severe cramping and anaemia.