T
The Daily Insight

What is a flat plate x ray

Author

Rachel Hickman

Published Mar 16, 2026

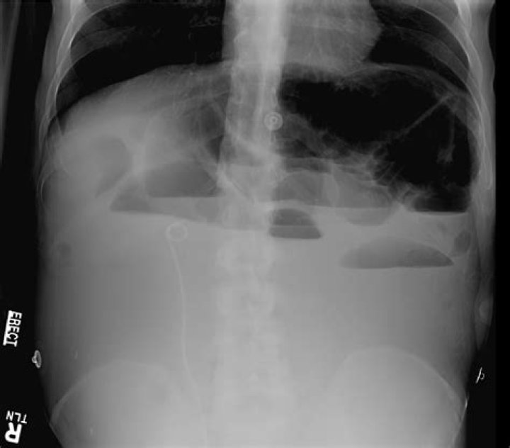
A kidney, ureter, and bladder (KUB) X-ray is also known as a “flat plate of the abdomen x-ray,” may be performed to assess the abdominal area for causes of abdominal pain, or to assess the organs and structures of the urinary and/or gastrointestinal (GI) system.

What is a flat plate medical?

: a radiograph especially of the abdomen taken with the subject lying flat.

What are the different types of X-ray?

  • Abdominal x-ray.
  • Barium x-ray.
  • Bone x-ray.
  • Chest x-ray.
  • Dental x-ray.
  • Extremity x-ray.
  • Hand x-ray.
  • Joint x-ray.

Can an X-ray show an intestinal blockage?

To confirm a diagnosis of intestinal obstruction, your doctor may recommend an abdominal X-ray. However, some intestinal obstructions can’t be seen using standard X-rays. Computerized tomography (CT). A CT scan combines a series of X-ray images taken from different angles to produce cross-sectional images.

Can a chest X-ray show stomach problems?

Plain chest X-ray films can help diagnose and suspect volvulus in any patients presenting with an acute abdomen [5]. It characteristically demonstrates spherical stomach, double air-fluid level or the retrocardiac air-fluid level above the diaphragm on the upright chest films.

What does a flat abdomen mean?

“By definition, a flat surface is one without raised areas or indentations,” she wrote. “So, when I’m sat down, if I let everything go, my belly is fuller, there aren’t rolls and the surface is smooth, actually quite flat.

What is the difference between flat slab and flat plate?

♻️Flat slab is one with either drop panel or column capital(or both at the same time) that helps reduce shear stress on the column slab junction. … On the other hand flat plates are slabs systems with the slab connected to the column directly.

Can you still poop with impacted feces?

Once fecal impaction occurs, the intestine will not be able to remove the feces from the body through the normal contraction process. Hence, it’s typically impossible to excrete wastes from the body, defecate, or poop with impacted feces.

What are the warning signs of a bowel obstruction?

  • Crampy abdominal pain that comes and goes.
  • Loss of appetite.
  • Constipation.
  • Vomiting.
  • Inability to have a bowel movement or pass gas.
  • Swelling of the abdomen.
What is difference between flat and plate?

2. Describe one basic difference between the plate and flat bar from the descriptions above. Plate is used for durability and strength and flat bar can be used in ornamental fabrication which does not require strength attributes and can also be fabricated into structural I Beams if its more than . 250” thick.

Article first time published on

What are the advantages of flat slab?

  • It reduces the overall height of the structure.
  • Flat slabs are capable to carry concentrated loads.
  • Requires less formwork.
  • As reinforcement detailing of flat slabs is simple it is easy to place.
  • Better quality control.

Why drop is provided in flat slab?

Uses of drop panels : Drop panels increase the shear strength of the flat slab floor (i.e it resists shear). Drop panels increase the flat slab’s negative moment capacity. Drop panels reduce deflection by stiffening the flat slabs.

Is a flat stomach healthy?

It is normal for the stomach to expand after a big meal to accommodate for the food nourishing your body. This isn’t necessarily bloating; just your body doing it’s work to break down food in the stomach,” Johnston says. Having a flat stomach is not the key to being healthy or happy.

How do models keep a flat stomach?

She recommends doing planks, side planks, Russian twists, bicycle crunches and mountain climbers for flat abs. Lagree says you should start off slowly with a few repetitions and gradually work your way to more.

Is flat stomach possible?

There are many ways in which a person can get a flat stomach. Adding extra exercise to the daily routine, increasing fiber intake, and sleeping more can all help slim a person’s waistline. Before starting a new exercise regimen, people should speak to a doctor about any health concerns.

How do you clear a bowel obstruction without surgery?

  1. Nasogastric Tube (NG Tube) In order to help you feel more comfortable and release any pressure, your doctor may insert a small tube through your nose and down into your stomach. …
  2. Watchful Waiting. …
  3. Therapeutic Enema. …
  4. Large Bowel Resection. …
  5. Small Bowel Resection. …
  6. Strictureplasty.

How do doctor's clear a bowel blockage?

Enemas of air or fluid can help clear blockages by raising the pressure inside your bowels. A mesh tube called a stent is a safe option for people who are too sick for surgery. Your doctor puts it in your intestine to force the bowel open. Some people may not need anything more than a stent.

Can you hear bowel sounds with an obstruction?

If you have an obstruction, your healthcare provider may hear high-pitched sounds while listening to your abdomen. If the obstruction has been present for some time, there may be a complete absence of any bowel sounds.

What do you do if your poop is too big to come out?

The most common treatment for a fecal impaction is an enema, which is special fluid that your doctor inserts into your rectum to soften your stool. An enema often makes you have bowel movements, so it’s possible that you’ll be able to push out the mass of stool on your own once it’s been softened by the enema.

Does Coke help constipation?

This type of Coca-Cola is becoming a popular health drink in Japan because it acts like a laxative. Coca-Cola Plus is becoming a popular health drink in Japan. The fizzy drink acts like a laxative. It contains a high-fiber substance called indigestible dextrin, which increases the body’s ability to remove waste.

Is it OK to remove poop with finger?

It’s important to be gentle and work slowly when you’re removing stool with your finger. Removing stool with your fingers can easily cause tears in your rectum or spread stool to other areas if not done carefully. Going too fast or not using caution can lead to infection and injury.

What is flat bar steel definition?

Flats are an extruded bar product that are very versatile and have a wide range of applications. Flat bar is widely used for all types of fabrication projects where lightweight and corrosion resistance is a concern. Aluminum flat bar stock.

What are drop panels?

The portion of a flat slab or flat plate that is thickened throughout the area surrounding the top of the column, to reduce the magnitude of shear stress.

What is the difference between ribbed slab and waffle slab?

Ribbed slabs are made up of wide band beams running between columns with narrow ribs spanning the orthogonal direction. Normally the ribs and the beams are the same depth. … Waffle slabs have a thin topping slab and narrow ribs spanning in both directions between column heads or band beams.

What are the disadvantages of flat slabs?

1Span length is medium. In flat plate system, it is not possible to have large span.2Not suitable for supporting brittle (masonry) partitions3Use of drop panels may interfere with larger mechanical ducting

Does flat slab have beams?

Flat slab is a reinforced concrete slab supported directly by concrete columns without the use of beams.

Is flat slab economical?

Weight of Flat slab structure is quite low as compared to conventional slab structure. Flat slab structure is more economical than that of conventional slab structure. The cost of flat slab structure is reduced by 15.8% compared to conventional slab structures.

What is middle strip in flat slab?

In a flat slab the column strip is the one placed at the center, whereas middle strip is placed among two column strips. In the flat slab, the column strips are the middle portion of the column and each side has a width equal to 1/4th of the shorter span.

What is panel in flat slab?

1.4 Slab with drop and column with column head The portion of flat slab that is bound on each of its four sides by centre lines of adjacent columns is called a panel.

What is punching reinforcement?

The weight of a slab supported on a column induces shear stresses in the slab. These stresses, if sufficient and where additional reinforcement is not provided, would result in the column ‘punching’ through the slab.

Are flat abs genetic?

Conclusion: The majority of inter-subject variance in central abdominal fat in non-obese individuals is due to genetic factors. The inheritance of abdominal obesity, with its associated metabolic consequences, may contribute to the familial aggregation of insulin resistance, diabetes and cardiovascular disease.