T
The Daily Insight

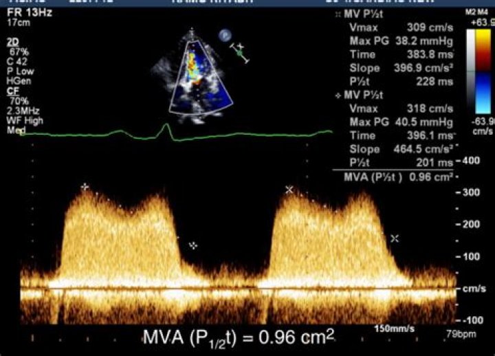
How is MV area calculated

Author

Christopher Lucas

Published Feb 13, 2026

MVA estimation methodFormulaVariablesBy DTMVA = 759/DTDT – deceleration time

How do you calculate the aortic regurgitant volume?

Aortic regurgitant volume and %RF were calculated using the following equations: aortic regurgitant volume = [aortic outflow volume] − [mitral inflow volume]; %RF = [aortic regurgitant volume]/[aortic outflow volume] × 100.

What is aortic valve area index?

Background: To account for differences in body size in patients with aortic stenosis, aortic valve area (AVA) is divided by body surface area (BSA) to calculate indexed AVA (AVAindex). Cut-off values for severe stenosis are <1.0 cm2 for AVA and <0.6 cm2/m2 for AVAindex.

What aortic valve area is considered severe?

Severe AS is usually defined as mean gradient >40 mmHg, aortic valve area (AVA) <1 cm2 and peak aortic jet velocity >4.0 m/s (2). However, discrepancies are frequently observed between the mean gradient and the valve area in a single patient (3).

How is PHT measured?

PHT is obtained by tracing the deceleration slope of the E-wave on Doppler spectral display of transmitral flow. The deceleration slope is sometimes bimodal, the decline of mitral flow velocity being more rapid in early diastole than during the following part of the E-wave.

How does PHT measure MVA?

The PHT of the mitral inflow deceleration slope was determined from the stored mitral inflow Doppler VTI, and the MVA was then calculated using the following formula: MVA = 220/PHT (Figure 1) [10].

How do you calculate PHT?

The time from the Vmax to the velocity equal to Vmax divided by 1.4 is the pressure half time. (Vmax / 1.4 is equivalent to the half pressure). 220 divided by the PHT is the mitral valve area.

How do you calculate cardiac output echocardiogram?

Work out the volume of the cylinder – Multiply the area of the LVOT (a circle) by the length the blood travels and you get the stroke volume (ie volume ejected per beat) The stroke volume multiplied by the heart rate gives us the cardiac output (expressed as L/Min).

How do you calculate aortic regurgitant fraction?

In patients with aortic regurgitation, the regurgitant fraction (RF) = (Aortic flow-Mitral flow)/Aortic flow = 1-Mitral flow/Aortic flow. Substituting 0.77 for the area component of flow, RF = 1-(1/0.77).

How do you find the cross sectional area of an Lvot?

Answer: An LVOT diameter of 2 cm gives a LVOT cross-sectional area of, 2 * 2 * 0.78540 = 3.14 cm2. To calculate stroke volume, multiply the cross-sectional area of 3.14 cm2 by the LVOT VTI 24 cm.

Article first time published on

What is the area measurement range for a moderately stenotic aortic valve?

Moderate stenosis is characterized by an aortic valve area between 1.0 and 1.5 cm2 and a mean pressure gradient between 25 and 40 mm Hg.

What is considered critical aortic stenosis?

SeverityMean gradient (mm Hg)Aortic valve area (cm2)Mild<25>1.5Moderate25-401-1.5Severe>40< 1 (or < 0.5 cm2/m2 body surface area)Critical>80<0.5

What is the life expectancy of someone with aortic stenosis?

Severe symptomatic aortic stenosis is associated with a poor prognosis, with most patients dying 2–3 years after diagnosis.

What is a normal EE ratio?

In normal individuals the E/e´ ratio is <8. In the presence of diastolic dysfunction / impaired relaxation, e´ will be rather low. In contrast, the E-wave increases with elevated filling pressures. Thus the E/e´ ratio will increase in the presence of diastolic dysfunction.

How is aortic stenosis measured?

The severity of aortic stenosis is determined by measuring the aortic valve area (AVA) and calculating the pressure gradient between the left ventricle and the aorta on echocardiography. Aortic stenosis is described as mild, moderate, severe or critical based on these measurements.

What is the size of heart valve?

Mechanical heart valves come in different sizes Prosthetic heart valves are manufactured in sizes ranging from 19 mm to a maximum size of 31 or 33 mm.

What is the normal tricuspid valve area?

The valve consists of three leaflets, named after their positions: anterior, posterior and septal [Figure 2]. The normal valve area in adults is 4-6 cm2.

How do you calculate pressure in halftime echo?

Calculation of the pressure half-time (PHT) is achieved by measuring the time from peak E wave velocity (V1) to the point when velocity equals peak velocity × 0.71 (V2) (calculations in white) and by measuring the deceleration time from the extrapolated E–F slope and multiplying by 0.29 (calculations in yellow) (D).

What is pressure half time used for?

Doppler echocardiography is useful in assessing the severity of obstructive cardiac lesions, such as mitral valve stenosis. The Doppler study can be used to calculate pressure half-time (PHT), which is defined as the time required for the pressure gradient across an obstruction to decrease to half of its maximal value.

How is tricuspid stenosis measured?

Continuous Doppler is used to assess the stenosis. Doppler recordings are made during inspiration (velocities across the valve are greater during inspiration). The following findings are indicative of tricuspid stenosis: Maximum flow velocity exceeds 1 m/s.

How do you calculate time integral velocity?

LVOT VTI is calculated by placing the pulsed Doppler sample volume in the outflow tract below the aortic valve and recording the velocity (cm/s). When the velocity signal is integrated with respect to time, the distance blood moves with each systole is calculated in cm/systole (Fig.

What is a normal regurgitant fraction?

It is measured as the amount of blood regurgitated into a cardiac chamber divided by the stroke volume. This fraction affords a quantitative measure of the severity of the valvular lesion. Normally, no blood regurgitates, so the regurgitant fraction is zero.

How do you calculate the tricuspid valve?

Tricuspid valve area (TVA) was calculated by the pressure half-time method (TVA = 190 divided by pressure half-time).

What is effective regurgitant orifice area?

The effective regurgitant orifice area is a measure of the severity of the regurgitant lesion. It is also a major determinant of the enlargement of the left ventricle and left atrium in mitral regurgitation and provides additional information compared with regurgitant volume and regurgi- tant fraction (8).

How do you calculate ESV and EDV?

Insert the value of stroke volume into the algebraic equation EDV = SV + ESV. In this equation, EDV stands for “end-diastolic volume,” SV stands for “stroke volume,” and ESV stands for “end-systolic volume.” For instance, if the stroke volume has a value of 65, the equation becomes EDV = 65 + ESV.

How is the aortic valve gradient calculated?

In this study, the velocity curves in aortic stenosis were analysed mathematically to develop a new and simple method for calculating the mean pressure gradient ( A Pm) from Doppler velocity tracings. The new formula is: A Pm = 8 V1£[Vp/(Vp+VjJ] where Vp is the peak systolic velocity and\m the mean systolic velocity.

What kind of valve is the aortic valve?

Aortic valveTA98A12.1.04.012TA23993FMA7236Anatomical terminology

Does an echocardiogram measure cardiac output?

Background. Although pulmonary artery catheters (PACs) have been the reference standard for calculating cardiac output, echocardiographic estimation of cardiac output (CO) by cardiologists has shown high accuracy compared to PAC measurements.

What is moderate stenosis?

Of the 55,567 patients, 1,902 had a single coronary artery with angiographically moderate stenosis (defined as a narrowing of 50%-69%) and results of at least one postoperative angiogram available.

What medications should be avoided with aortic stenosis?

The patient with severe aortic stenosis is relatively “afterload fixed and preload dependent” — meaning cardiac output does not increase with after-load reduction. Thus all afterload reducing agents (angiotensin-converting enzyme inhibitors, calcium channel blockers, blockers) are contraindicated.