T
The Daily Insight

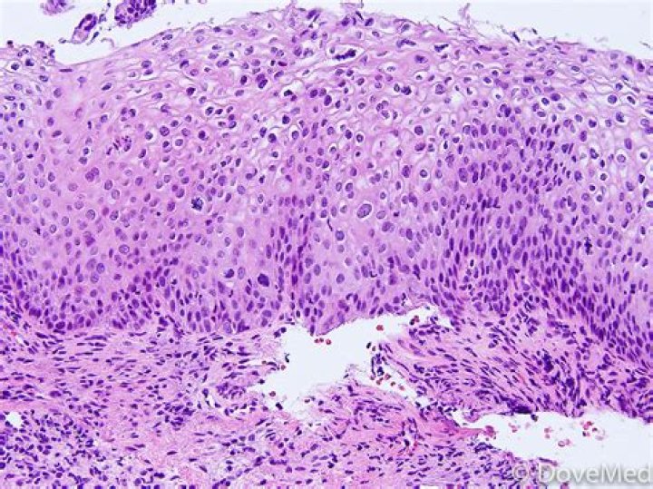
How is condyloma diagnosed

Author

William Taylor

Published Apr 02, 2026

Condylomas are most often detected with the naked eye. … In case of doubt, the doctor can do a biopsy.For people who have no symptoms, no test is available to detect the virus.No test is currently available to screen specifically for HPV.

What does condyloma acuminata look like?

Genital warts appear as flesh-colored, round bumps of varying sizes. They can be smooth and flat or cauliflower-like with a small stalk. They can be seen on the labia, vagina, penis, scrotum, anus, skin around the anus, and urethra.

Is condyloma acuminata precancerous?

Condylomata acuminata are caused by HPV isotypes that do not cause cancer. Accordingly, these genital warts are not precancerous and do not progress to invasive carcinomas.

How do you treat condyloma acuminata?

Cryotherapy, trichloroacetic acid solution, and several surgical modalities are also available treatments. There is a chance for Condyloma acuminata to recur after topical treatments. Surgical excision is the only available treatment with clearance rates close to 100 percent.

Can condyloma go away?

The medical term for genital warts is ‘condyloma acuminata,’ and it is a sexually transmitted disease (STD). A genital wart varies amongst patients. Genital warts may go away on their own or with treatment. They can last from a few months to years (with or without treatment), most of them take 2 years to clear up.

How long is condyloma dormant?

HPV can lay dormant for many years after a person contracts the virus, even if symptoms never occur. Most cases of HPV clear within 1 to 2 years as the immune system fights off and eliminates the virus from the body. After that, the virus disappears and it can’t be transmitted to other people.

Does HPV cause condyloma acuminata?

Human papillomavirus (HPV) is a common cause of cutaneous and mucosal infection. Condylomata acuminata (CA; singular: condyloma acuminatum), also known as anogenital warts, are manifestations of HPV infection that occur in a subset of individuals with anogenital HPV infection.

How long does it take condyloma to appear?

The symptoms may include pain, itching, and bleeding, or you may develop visible genital warts. If you have symptoms, they will probably occur 2 to 3 months after infection. But you can have symptoms from 3 weeks to many years after infection. Visible genital warts appear only during active infection.

How fast does condyloma grow?

The time from exposure to the virus and growth of the warts is commonly from one to six months, but it can be longer.

Do I have condyloma?

Genital warts look like skin-colored or whitish bumps that show up on your vulva, vagina, cervix, penis, scrotum, or anus. They kind of look like little pieces of cauliflower. You can have just one wart or a bunch of them, and they can be big or small. They might be itchy, but most of the time they don’t hurt.

Article first time published on

Are condyloma white?

They can be white, gray, or skin colored. They appear on the labia, vagina, penis, scrotum, anus, skin around the anus, and groin folds. They do not cause any symptoms.

Which HPV types are most likely to cause condyloma Acuminatum?

Condylomata acuminata, or genital warts, are proliferative lesions of genital epithelium caused by human papillomavirus (HPV) infection. HPV types 6 and 11 are most often detected in these lesions.

Can HPV show up 20 years later?

HPV can lie dormant for years Although the virus often heals on its own, in other cases, it lies dormant in the body and can trigger cancers years after infection. In fact, cervical cancer from HPV commonly takes 10 to 20 years or more to develop.

Will I always test positive for HPV?

HPV spreads through sexual contact and is very common in young people — frequently, the test results will be positive. However, HPV infections often clear on their own within a year or two.

Can a faithful couple get HPV?

Sex partners who have been together tend to share HPV, even when both partners do not show signs of HPV. Having HPV does not mean that a person or their partner is having sex outside the current relationship. There is no treatment to eliminate HPV itself. HPV is usually dealt with by your body’s immune system.

What is perianal condyloma?

Anal warts (also called “condyloma acuminata”) are a condition that affects the area around and inside the anus. They may also affect the skin of the genital area. They first appear as tiny spots or growths, perhaps as small as the head of a pin, and may grow quite large and cover the entire anal area.

How can condyloma acuminata be prevented?

One human papillomavirus vaccine (9-valent, Gardasil 9) is available in the United States for the prevention of HPV-associated neoplasias and dysplasias, including genital warts (condylomata acuminata). The FDA has expanded the age to receive the vaccine through age 45 years.

Does condyloma acuminata hurt?

Condylomata acuminata are often asymptomatic. These lesions are generally not painful, but they can be associated with pruritus; bleeding may be observed if the lesions become confluent and are irritated by clothing.

Can high risk HPV cause condyloma?

About 90% of genital warts are caused by HPV 6 and 11 [3]. Our case is unusual in that HPV-16 which is considered high-risk type for carcinogenesis was found to cause condyloma acuminata.

Can you test negative for HPV if it is dormant?

This is because HPV may remain dormant (“hidden”) in the cervical cells for months or even many years. While dormant, the virus is inactive; it won’t be detected by testing and will not spread or cause any problems.

Can HPV lay dormant for 40 years?

The women who develop cervical cancer at age 40 probably got infected shortly after [having sex] with their first sexual partner.” That’s because HPV can stay dormant for years before it starts causing the cell damage that can lead to cancer. HPV-triggered cancers can take years, or even decades, to develop.

Does HPV stay with you forever?

Depending on the type of HPV that you have, the virus can linger in your body for years. In most cases, your body can produce antibodies against the virus and clear the virus within one to two years. Most strains of HPV go away permanently without treatment.